QOLを向上させる高精度治療への取組
ご紹介
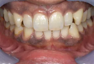
歯の治療には早期発見と早期治療が大切です。歯や神経は生え変わることがないため、今ある自分自身の歯をしっかりと維持し、健康的な状態に保てるように歯科として多角的なサポートをしております。より高精度な治療を行うためにマイクロスコープやエルビウムヤグレーザーなどを導入し、できる限り負担の少ない治療を選択できるように配慮しています。歯の審美性や機能性を向上させる矯正や予防を目的としたホームケアの指導や各種処置、早期発見と早期治療を支える定期検診やメインテナンスなどを湘南台にて実施いたします。
適切な口腔環境の維持を支える治療
各種治療について
提供している主な治療方法を一覧で掲載しています。お子様からご高齢の方まで、幅広い年代に対応するため、施術方法も多種多様に取り揃えております。
読みやすいコラムにて様々な情報を掲載
コラム
健康的な口腔環境の維持を応援する豆知識や業界にまつわる小話など、ためになる情報をコラム形式で紹介しています。
歯をできる限り残したい方にもお役立ていただけます。
よくある質問の中からピックアップ
よくある質問
口腔内にお悩みやトラブルを抱えている方より、治療やご相談に関してよくいただく質問をまとめて紹介いたします。予約時の参考として活用していただけます。
- 矯正治療はどのような方法がありますか?
- ワイヤー矯正とマウスピース矯正の両方に対応しています。歯周病を悪化させる可能性のある噛み合わせの問題を改善し、長期的な安定を目指した矯正治療を提供しています。
- どのような支払い方法がありますか?
- 自由診療についてはクレジットカードでの支払いとデンタルローンの利用が可能です。詳細はクリニックに直接お問い合わせください。
- 予約はどのようにすれば良いですか?
- 24時間対応のネット予約が可能です。電話(0466-54-7618)での予約も受け付けています。
- 診療時間は何時ですか?
- 月曜日から金曜日は午前9:00から午後1:00までと午後3:00から午後7:00まで診療しています。土曜日は午前9:00から午後1:00までと午後3:00から午後5:00までです。日曜・祝日は休診です。
いち早くお伝えしたい新着情報を更新
ブログ
予約時の参考となるよう、診察時間や治療などに関する新しいお知らせを随時掲載しております。
患者様のQOL向上を目指し、歯を残す治療を提供しています。
専門的な医療の提供に向けて邁進
当院の特徴
健康的な口元をつくりあげる各種治療やケアを湘南台にて提案しております。
歯を残す治療や予防にも力を入れており、小さなお子様にも対応している歯科のため、年齢を問わずにお気軽にご相談いただけます。













